Staffordshire's highest rated dental practice - we guarantee the best quality dental care at great prices! Full range of dental care available - we can do everything under one roof!

WHATSAPP

whatsapp whatsapp

23 May 2024

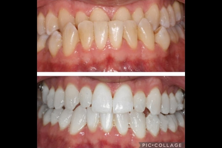
Teeth straightening at Church Lane Dental

As Stafford's biggest orthodontic Practice, we can provide excellent teeth straightening results for both children and adults. Appointments are available immediately, and 7 days a week, so you…

Find out more

7 August 2024

Orthodontics at Church Lane

At Church Lane Dental Practice, we take lots of intraoral scans and photographs prior to starting teeth straightening. This helps us to plan cases perfectly so that our…

Find out more

22 August 2024

Clear Aligner Open Day!

On Saturday, 14th September, we are inviting you all to our Clear Aligner Open Day! We will have our Master's Qualified Orthodontist, Dr Antonio, with us 9 am…

Find out more

15 May 2025

Braces Stafford: Transforming Smiles with Advanced Techniques

We understand the profound impact a confident smile can have on your life. As we delve into the world of orthodontics, particularly focusing on Braces Stafford, we want to…

Find out more
logo gold circle symbol

Quickly match your needs with the right dental treatment using our simple treatment finder.

Stafford’s leading centre for dental implants and teeth straightening.

Book an appointment

GET IN TOUCH

Let’s start your journey today

Have questions or ready to book? Reach out, and our team will guide you every step of the way.

INSTAGRAM

See more smiles on our Instagram

Follow us on Instagram for real patient transformations, behind the scenes updates and the latest offers. It’s the easiest way to stay connected and inspired on your smile journey.

EXPLORE
Google Rating
4.9
Google Rating
Google-review