
At Church Lane Dental Stafford, we are dedicated to helping you achieve a brighter, more confident smile through our professional teeth whitening treatment.
Utilising the renowned Advance Whitening system, we offer safe and effective treatments tailored to your individual needs.
Treat yourself to our professional teeth whitening treatment this year.
The outcome of your treatment may vary depending on the thickness of your enamel, but with proper use, you’ll enjoy a noticeably brighter smile. Plus, we make it easy to maintain your results—top-up syringes are conveniently available at our reception, so you can refresh your whitening before special occasions like weddings, parties, or other social events.
At Church Lane Dental Stafford, we offer Advance Whitening—a safe and effective method to enhance your smile. This system uses high-quality whitening gel to deliver outstanding results, giving you a brighter, whiter smile.
Treatment options:
Both options release oxygen free radicals that gently whiten teeth over time, ensuring impressive results with minimal sensitivity.
Enhance your smile further:
For a comprehensive transformation, teeth whitening can be combined with treatments like veneers or composite bonding to achieve a Hollywood smile.
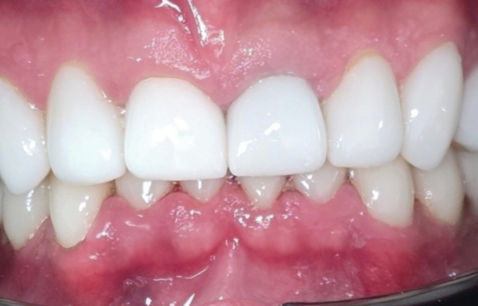
Experience the confidence of a radiant smile with our professional teeth whitening services. Contact us today to schedule your consultation.
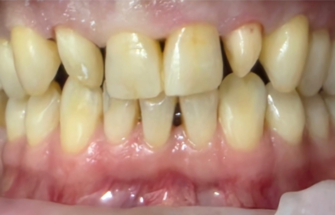
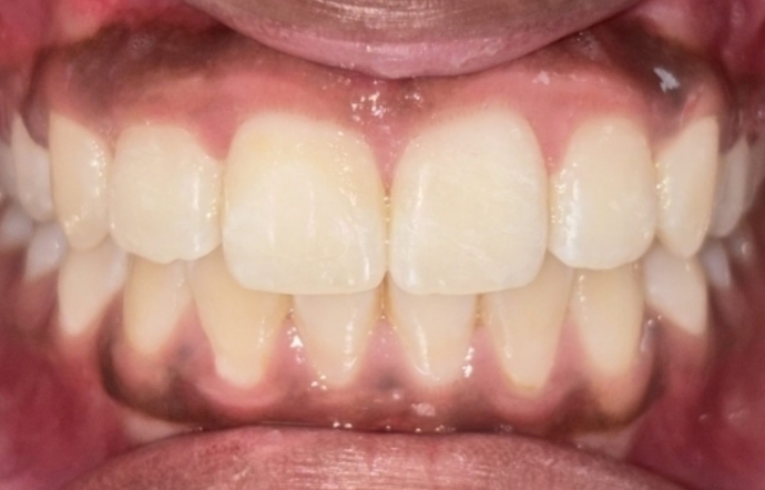
Composite bonding was used to totally transform the decaying teeth into perfect pearly whites.
Get in touchPorcelain veneers were used to give an instant white smile and to fix the crowded…
Get in touchClear braces and porcelain veneers were used to correct this smile.
Get in touchClear braces and porcelain veneers were used to fix the crowded teeth.
Get in touchPorcelain veneers and clear braces were used to fix the crowded teeth.
Get in touchComposite bonding was used to totally transform the decaying teeth into perfect pearly whites.
Get in touchPorcelain veneers were used to give an instant white smile and to fix the crowded…
Get in touchClear braces and porcelain veneers were used to correct this smile.
Get in touchQuickly match your needs with the right dental treatment using our simple treatment finder.
Follow us on Instagram for real patient transformations, behind the scenes updates and the latest offers. It’s the easiest way to stay connected and inspired on your smile journey.
EXPLORE