Staffordshire's highest rated dental practice - we guarantee the best quality dental care at great prices! Full range of dental care available - we can do everything under one roof!

WHATSAPP

whatsapp whatsapp

Dental bridges in Stafford.

Dental bridges are another option to replace missing teeth

At Church Lane Dental, we can use bridges to fill gaps in your smile safely and aesthetically.

They can be made from strong porcelain such as Zirconia and E-max, and the colour can be matched to your other teeth so that nobody knows you have a missing tooth.

If you are concerned about missing teeth, then please book an appointment, and we can see if dental bridges can replace your missing teeth.

For more information regarding this treatment
Call us 01785 252 514 OR Contact OR Book now

GET IN TOUCH

Let’s start your journey

Fixed (Cantiliver) bridges

Fixed bridges are a great way to replace missing teeth

  • Fixed bridges are a stronger alternative to resin bridges.
  • Stronger than resin bridges.
  • Less likely to debond than resin bridges.
  • Excellent aesthetics, and can be made entirely of porcelain.
  • Metal-free.
  • Require more tooth preparation than resin bridges, and so are more invasive.
Get in touch

Resin-bonded (Maryland) bridges

Resin bridges are a great way to replace missing teeth

  • They are minimally invasive, so that minimal preparation is done to the neighbouring teeth.
  • They have great aesthetics, and the colour can be matched to your other teeth.
  • Very cost-effective and offers excellent value.
Get in touch
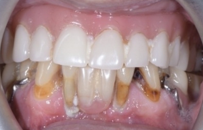
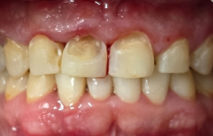
Dental implants - Case 1 - before Before
Dental implants - Case 1 - after After

Dental implants - Case 1

Get in touch
Dental implants - Case 2 - before Before
Dental implants - Case 2 - after After

Dental implants - Case 2

Get in touch
Cosmetic Bonding - Case 1 - Before Before
Cosmetic Bonding - Case 1 - After After

Cosmetic Bonding - Case 1

Composite bonding was done by Dr Raj to whiten this smile.

Get in touch
Cosmetic Bonding - Case 2 - Before Before
Cosmetic Bonding - Case 2 - After After

Cosmetic Bonding - Case 2

Porcelain veneers were used to whiten and brighten this smile.

Get in touch
Cosmetic Bonding - Case 3 - Before Before
Cosmetic Bonding - Case 3 - After After

Cosmetic Bonding - Case 3

Invisalign, followed by composite bonding, was used to create this straight, healthy, white smile.

Get in touch
Dental implants - Case 1 - before Before
Dental implants - Case 1 - after After

Dental implants - Case 1

Get in touch
Dental implants - Case 2 - before Before
Dental implants - Case 2 - after After

Dental implants - Case 2

Get in touch
Cosmetic Bonding - Case 1 - Before Before
Cosmetic Bonding - Case 1 - After After

Cosmetic Bonding - Case 1

Composite bonding was done by Dr Raj to whiten this smile.

Get in touch
Cosmetic Bonding - Case 2 - Before Before
Cosmetic Bonding - Case 2 - After After

Cosmetic Bonding - Case 2

Porcelain veneers were used to whiten and brighten this smile.

Get in touch
Cosmetic Bonding - Case 3 - Before Before
Cosmetic Bonding - Case 3 - After After

Cosmetic Bonding - Case 3

Invisalign, followed by composite bonding, was used to create this straight, healthy, white smile.

Get in touch
logo gold circle symbol

Quickly match your needs with the right dental treatment using our simple treatment finder.

Stafford’s leading centre for dental implants and teeth straightening.

Book an appointment Back to General Dentistry

INSTAGRAM

See more smiles on our Instagram

Follow us on Instagram for real patient transformations, behind the scenes updates and the latest offers. It’s the easiest way to stay connected and inspired on your smile journey.

EXPLORE
Google Rating
4.9
Google Rating
Google-review