Staffordshire's highest rated dental practice - we guarantee the best quality dental care at great prices! Full range of dental care available - we can do everything under one roof!

WHATSAPP

whatsapp whatsapp

26 January 2022

How do I prevent tooth decay?

Tooth decay is a condition in which dental plaque turns sugar into acid, destroying your teeth in the process. People who suffer from this experience symptoms such as…

Find out more

16 January 2022

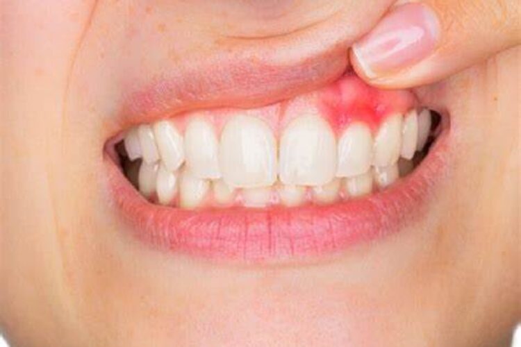
Does gum disease go away?

Gum disease is a common condition and affects most adults at some point in their lifetime. It can be quite distressing, with early symptoms of swollen and red…

Find out more

31 December 2021

How can I afford fix my teeth?

At Church Lane Dental, we understand finances are tough, particularly during the COVID-19 pandemic. We don't believe high-quality dental care should be compromised and should not bankrupt you,…

Find out more

2 August 2021

What Toothpaste Brand Should I use?

When it comes to oral hygiene, selecting the right toothpaste brand can be a daunting task. With numerous options lining the store shelves, each boasting unique benefits and…

Find out more
logo gold circle symbol

Quickly match your needs with the right dental treatment using our simple treatment finder.

Stafford’s leading centre for dental implants and teeth straightening.

Book an appointment

GET IN TOUCH

Let’s start your journey today

Have questions or ready to book? Reach out, and our team will guide you every step of the way.

INSTAGRAM

See more smiles on our Instagram

Follow us on Instagram for real patient transformations, behind the scenes updates and the latest offers. It’s the easiest way to stay connected and inspired on your smile journey.

EXPLORE
Google Rating
4.9
Google Rating
Google-review